家庭医生:天气潮湿闷热,夏天悄然而至,各地纷纷开启了空调模式。室内外的环境差异让各医院纷纷告急,呼吸道病人一拥而至。
当人体呼吸道的“防线”一旦被攻破,轻则出现咳嗽、打喷嚏、流涕等感冒的症状,重则出现高烧不退,呼吸困难,萎靡不振等症状,导致“空调肺”。

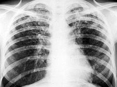
什么是“空调肺”?
呼吸性空调病主要是由于空调没有得到清洗,内部积攒的大量病原微生物,例如细菌、大量的灰尘和螨虫,随着空调送风进入室内,附着在皮肤、鼻腔、眼结膜上,引起过敏性体质人群的过敏性疾病。
出现咳喘、嗓子痒、眼红眼痒、皮疹等的症状,发生咽喉炎、鼻炎等上呼吸道感染。而空调冷凝水系统中的“嗜热放线菌”,更是可以随着呼吸进入肺脏,引发过敏性肺炎,俗称“空调肺”。

远离“空调肺”,严守呼吸道的“防线”
呼吸是人最基本和重要的事情,而“空调肺”会让肺纤维化,肺部越来越硬,导致氧气交换越来越少,逐步的缺氧状态让呼吸变得困难。

预防方法:
定期清洗消毒空调(空调面板和过滤网),保持室内空气健康清新,切断室内空气污染的重要源头。建议至少每一至两个月清洗一次。
‚使用专业的空调消毒剂,对最易藏污纳垢的散热片,进行彻底清洗消毒。多开窗通风。白天每开空调每2h,开窗通风10~15min;
或每隔1h到室外活动活动。多饮水,最好是温开水,保持咽喉部湿润。炎热天气使身体水分散失较多,呼吸道黏膜保护屏障的防御功能下降,加大了肺炎的发病率。

本文地址://www.diplomatpc.com/jibingzhiduoshao/1113.html

深圳









